Stage-resolved iPSC-to-motoneuron differentiation: Metabolic switch & mitochondrial remodeling

Avatar
Poster
Voice is AI-generated
Connected to paperThis paper is a preprint and has not been certified by peer review

Stage-resolved iPSC-to-motoneuron differentiation: Metabolic switch & mitochondrial remodeling

Authors

Jbeily, J.; Raic, A.; Hafner, M.; Rudolf, R.

Abstract

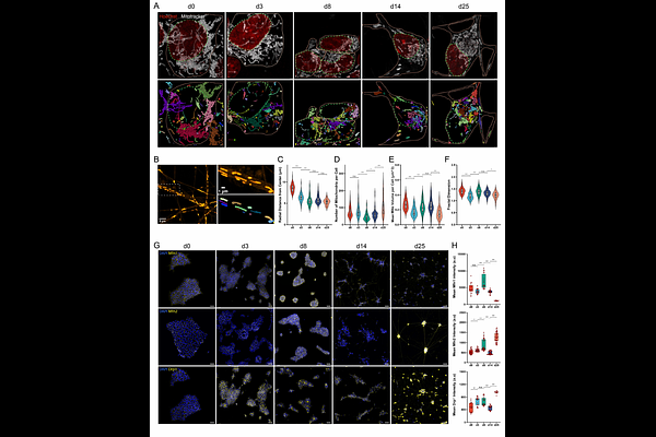
Development of motoneurons from stem cells is characterized by a change from glycolytic to oxidative metabolism. Since this transition remains poorly understood, we examined it at five distinct differentiation stages from hiPSC to motoneuron. While a direct comparison of hiPSCs and mature motoneurons confirmed the expected glycolytic-to-oxidative shift, the intermediate stages showed that the conversion was not monotonic. After an initial drop of glycolysis at the hiPSC-to-neuroepithelial transition, late neuroepithelial cells showed intermittent peaks of the glycolytic marker lactate dehydrogenase A and the metabolic regulator TIGAR. Furthermore, the lactate-produced-to-glucose-consumed ratio remained elevated. A fully oxidative phenotype was only assumed upon progress from neural progenitors to motoneurons, portrayed by a definitive drop of the lactate-produced-to-glucose-consumed ratio, an increase of mitochondrial membrane charging, and shifts from lactate dehydrogenase A to B, from pyruvate dehydrogenase to anaplerotic pyruvate carboxylase, and from Mitofusin 1 to 2. Together, our data show that metabolic maturation in human motoneurons does not occur as a simple switch. Instead, it unfolds through distinct stages in a directional yet nonlinear manner.

Follow Us on

0 comments

Add comment