Synthetic lumen rounding directs neural progenitor division mode

Avatar
Poster
Voice is AI-generated
Connected to paperThis paper is a preprint and has not been certified by peer review

Synthetic lumen rounding directs neural progenitor division mode

Authors

Marchenko, M.; Martinez Ara, G.; Pulikkal, J.; Ishihara, K.; Ebisuya, M.

Abstract

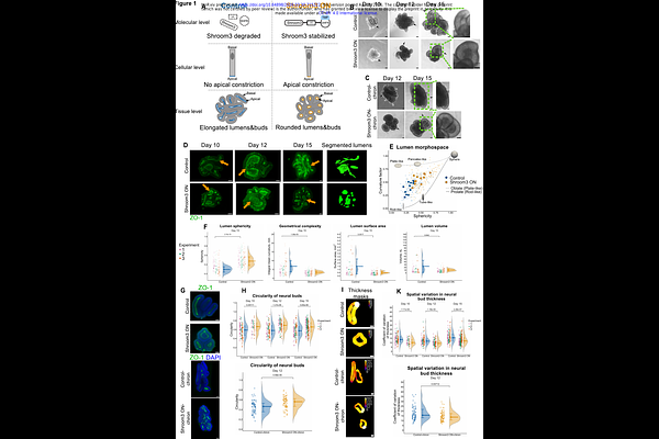
Although function often follows form, the causal role of tissue geometry is difficult to disentangle in complex embryonic development. Brain organoids generated using diverse protocols and species display striking morphological variability, particularly in lumen shape; however, whether and how lumen geometry influences neural development remains unclear. Here, we manipulate lumen sphericity in human cerebral organoids by acutely inducing apical constriction and reveal its impact on the division orientation of apical progenitors. Rapid protein stabilization or optogenetic reconstitution of the apical constriction regulator Shroom3 induces pronounced lumen rounding accompanied by a reduction in apical surface area. In organoids with rounded lumens, apical progenitor divisions shift toward horizontal cleavage planes compared with control organoids, consistent with geometric constraints from the reduced apical surface. Accordingly, rounded-lumen organoids exhibit increased cell delamination and an earlier emergence of basal progenitors in the abventricular region. These findings identify lumen geometry as an instructive regulator of progenitor division mode and lineage progression during early brain development.

Follow Us on

0 comments

Add comment