Hepatocyte Estrogen Receptor α Mediates Estrogen-induced Augmentation of Hepatic 1 Mitochondrial Respiration Following Ovariectomy.

Avatar
Poster
Voice is AI-generated
Connected to paperThis paper is a preprint and has not been certified by peer review

Hepatocyte Estrogen Receptor α Mediates Estrogen-induced Augmentation of Hepatic 1 Mitochondrial Respiration Following Ovariectomy.

Authors

Franczak, E.; Kugler, B. A.; Salathe, S. F.; Allen, J. A.; McCoin, C. S.; Morris, E. M. M.; Thyfault, J. P.

Abstract

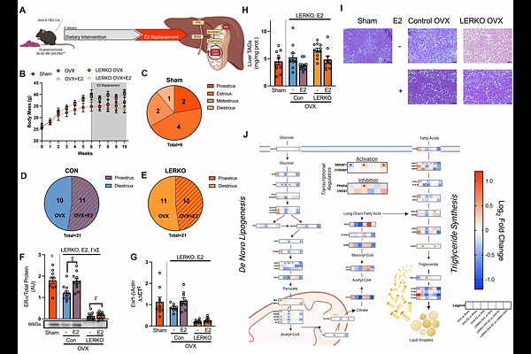
Whole-body estrogen receptor (ER) knockout mice develop hepatic steatosis; however, liver-specific ER knockout (LERKO) mice fail to recapitulate this susceptibility and maintain normal hepatic mitochondrial function. However, estrogen-mediated protection against hepatic steatosis is lost in LERKO mice following ovariectomy (OVX). Here, we tested whether loss of hepatic ER blunts estrogen modulation of hepatic mitochondrial respiratory capacity and mitochondrial proteome following ovariectomy (OVX). Sham or ovariectomy (OVX) surgery was performed in middle-aged female mice (36-40 weeks), followed by AAV injection to generate Control (Con; GFP) or LERKO mice (Cre). All mice were placed on a high-fat diet (HFD) for 10 weeks following surgery. Half of the OVX mice received 17-beta estradiol (E2) replacement (OVX+E2) for the last 4 weeks of HFD. OVX mice had greater body mass and adiposity, which was reversed by E2 replacement in both Con and LERKO mice. While E2 replacement reduced steatosis in both Con and LERKO OVX mice, the LERKO OVX mice maintained greater hepatic triglyceride content. E2 replacement promoted greater basal and ADP-stimulated (State 3) mitochondrial respiration in Con OVX but not in LERKO OVX mice under palmitate-supported conditions. Changes in mitochondrial respiration could not be attributed to altered responses to changes in energy demand (GATP) or to alterations in mitochondrial H2O2 production. Conversely, maximal coupled branched-chain amino acid-supported respiration was universally suppressed by E2 replacement. Proteomics analysis revealed E2-mediated reductions in hepatic mitochondrial energy transduction, with relatively minimal differences between Con and LERKO mice. In conclusion, post-ovariectomy estrogen treatment reduces steatosis in the absence of hepatic ER; however, triglyceride levels remain higher, and mitochondrial respiratory deficits persist despite similar proteomic signatures, suggesting that ER signaling is required for optimal estrogen hepatic responsiveness.

Follow Us on

0 comments

Add comment