SETD6-mediated methylation of PPARγ establishes a transcriptional feedback circuit promoting lipid accumulation in liver-derived cells

Avatar
Poster
Voice is AI-generated
Connected to paperThis paper is a preprint and has not been certified by peer review

SETD6-mediated methylation of PPARγ establishes a transcriptional feedback circuit promoting lipid accumulation in liver-derived cells

Authors

Nashnaz, N.; Goldberg, D.; Abramov, M.; Chopra, A.; Muallem, H.; Haim, Y.; Feldman, M.; Rudich, A.; Levy, D.

Abstract

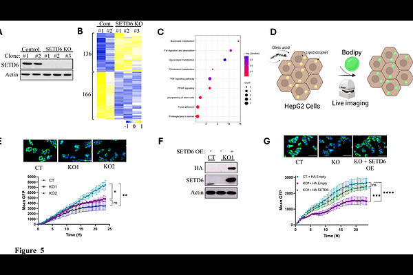
Nonalcoholic fatty liver disease (NAFLD) is characterized by excessive accumulation in hepatocytes and affects approximately 25% of the global population. The nuclear receptor PPAR{gamma} is a central regulator of lipid storage and metabolic gene expression in the liver; however, how post-translational modifications modulate its transcriptional activity remains incompletely understood. Here, we identify lysine methylation as a regulatory mechanism controlling PPAR{gamma} function. We show that the lysine methyltransferase SETD6 directly binds to and mono-methylates PPAR{gamma} at lysine 170 within its DNA-binding domain. This modification enhances PPAR{gamma} occupancy at target gene promoters and promotes the expression of lipid metabolism genes. Mechanistically, SETD6-mediated methylation of PPAR{gamma} facilitates its recruitment to chromatin and is required for full transcriptional activation of key lipid droplet-associated genes, including MOGAT1 and PLIN2. In turn, PPAR{gamma} directly activates SETD6 transcription in a methylation-dependent manner, establishing a positive feedback circuit that amplifies lipid metabolic gene expression. Transcriptomic analysis reveals that both SETD6 and PPAR{gamma} K170 methylation regulate overlapping gene networks enriched for lipid metabolism pathways. Functionally, disruption of SETD6 or mutation of PPAR{gamma} at K170 impairs lipid droplet accumulation in hepatocytes. Together, our findings uncover a previously unrecognized post-translational modification of PPAR{gamma} that regulates its chromatin binding and transcriptional activity, and define a SETD6-PPAR{gamma} regulatory axis that promotes hepatic lipid accumulation. These results provide new insight into epigenetic control of metabolic gene expression and suggest potential therapeutic targets for NAFLD.

Follow Us on

0 comments

Add comment