Kindlin-2-Moesin interaction orchestrates sprouting angiogenesis via modulating endothelial membrane mechanics and VEGF signaling
Kindlin-2-Moesin interaction orchestrates sprouting angiogenesis via modulating endothelial membrane mechanics and VEGF signaling
Wang, L.; Fu, Y.; Yu, Z.; Lei, Y.; Yang, T.; Liu, J.; Ma, N.; Liu, Y.; Ouyang, K.; Zhang, K.; Hu, J.; Fang, X.; Shen, Y.; Zhou, J.; Wang, X.
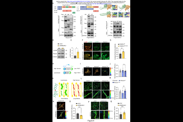
AbstractMembrane mechanics play a crucial role in cellular signaling and fate determination, yet their impact on angiogenesis remains poorly understood. Here, we identify Kindlin-2 as a key regulator of sprouting angiogenesis via regulating endothelial membrane tension through its interaction with Moesin, a crucial linker protein between the cell membrane and the actin cortex. Mechanistically, Kindlin-2 binds to the N62 residue of Moesin, limiting its overactivation and maintaining proper membrane tension to facilitate VEGFR2 endocytosis and downstream signaling. Using both developmental and pathological models, we demonstrate that the interaction of Kindlin-2 and Moesin is enhanced in high angiogenic conditions, and endothelial Kindlin-2 deletion reduces angiogenesis. Furthermore, mutation of Moesin at N62 phenocopies the effects of Kindlin-2 loss. Together, these findings uncover a previously unrecognized mechanism linking membrane tension regulation to angiogenesis and provide new insights into targeting the Kindlin-2 Moesin axis for therapeutic intervention in neovascular diseases.