BODIPY-Tagged β-Lactams as Selective Quenched Activity-Based Probes to Target Human Neutrophil Elastase
BODIPY-Tagged β-Lactams as Selective Quenched Activity-Based Probes to Target Human Neutrophil Elastase
Felix, R.; Carvalho, L. A. R.; Guedes, R.; Madureira, A. M.; Mallo-Abreu, A.; Goncalves, L.; Genilloud, O.; Fernandez-Godino, R.; Ramos, M. C.; Moreira, R.
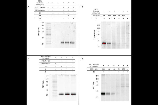
AbstractHuman Neutrophil Elastase (HNE) plays a vital role in several inflammatory diseases, however its role in the tumour microenvironment and the potential in cancer treatment is still unrevealed. Considering the potential of {beta}-lactams as HNE inhibitors, the present work describes the development of a synthetic strategy to obtain two different types (Type I and Type II) of quenched activity-based probes (qABPs), using a {beta}-lactam ring as a warhead and BODIPY-FL as a fluorophore. The two types differ in mechanism and relative position between the fluorophore and the quencher moiety. The qABPs synthesized presented IC50 values against HNE lower than 0.5 M, and high selectivity compared with homologous serine hydrolases. Type II qABPs showed a more efficient turn-on mechanism, and selectively targeted HNE in different cell lysates. The qABP 22 was internalized in U937 cells and in human neutrophils and successfully targeted HNE in both.