Cleavage specificity of E. coli YicC endoribonuclease

Avatar
Poster
Voice is AI-generated
Connected to paperThis paper is a preprint and has not been certified by peer review

Cleavage specificity of E. coli YicC endoribonuclease

Authors

Barnes, S. A.; Lazarus, M. B.; Bechhofer, D. H.

Abstract

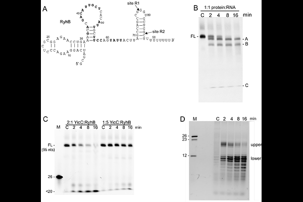
Escherichia coli YicC enzyme is the founding member of a family of endoribonucleases that is encoded in virtually all bacterial species. Previous structural studies revealed that this ribonuclease binds RNA by a novel mechanism in which the hexameric apoprotein presents an open channel that undergoes a large rotation upon RNA binding and clamps down on the RNA. The current study follows up on these findings by examining the cleavage of various oligonucleotide substrates designed to probe recognition elements required for YicC binding and cleavage. A 26-nucleotide RNA oligomer (oligo), with a KD in the low micromolar range, was the standard to which numerous oligos with altered sequence were compared. In vitro RNase assays and fluorescence anisotropy binding measurements indicated that the preferred substrates for YicC were relatively small RNAs that contain some secondary structure. Larger RNAs or highly structured RNAs were less-than-optimal substrates. Similarly, RyhB RNA, a ~90-nucleotide, iron-responsive RNA of E. coli, which has been described as a target of YicC binding and/or cleavage, was a poor YicC substrate in our assays. These results suggest that the native substrates for YicC-family members are very small RNAs or RNA fragments derived from larger RNAs.

Follow Us on

0 comments

Add comment